Publicado 09/02/2026 13:26

A retinopatia diabética apresenta biomarcadores de inflamação antes do aparecimento de danos nos olhos, segundo estudo

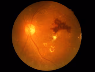
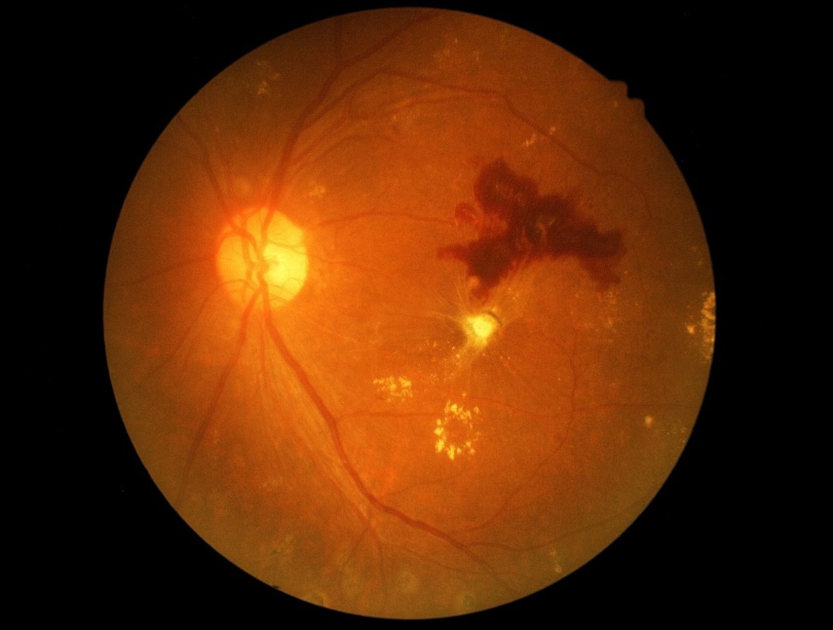
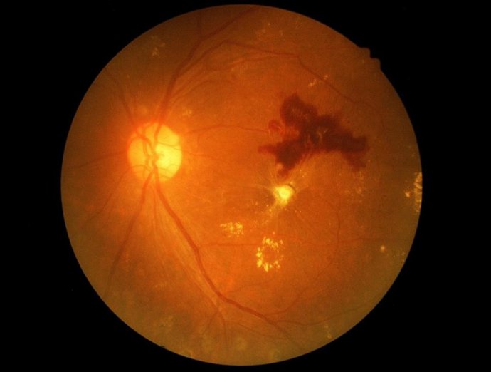
Archivo - Arquivo - Retinopatia diabética
MEMORISZ/ ISTOCK - Arquivo

MADRID 9 fev. (EUROPA PRESS) - Um novo estudo mostra que a retinopatia diabética — uma das principais causas de perda de visão em pessoas com diabetes — apresenta sinais claros de inflamação e danos vasculares desde as suas fases mais precoces, mesmo antes do aparecimento de complicações visíveis no olho.

O trabalho foi liderado por cientistas da Unidade de Investigação Oftalmológica “Santiago Grisolía” da FISABIO e apoiado pela Rede de Doenças Inflamatórias (RICORS-REI). Os pesquisadores analisaram o humor aquoso, um líquido transparente localizado na parte anterior do olho, e descobriram que os pacientes com retinopatia diabética em fases iniciais de sua evolução apresentam níveis mais elevados de moléculas relacionadas à inflamação crônica e à alteração dos vasos sanguíneos do que os diabéticos sem retinopatia e os controles.

Essas alterações moleculares são detectadas quando não há nenhum sinal no fundo do olho, o que indica que a doença começa a se desenvolver silenciosamente muito antes de se manifestarem as alterações retinianas nos estágios mais avançados. Isso abre a porta para que essas moléculas possam ser usadas como biomarcadores diagnósticos preventivos.

A pesquisa foi publicada recentemente no 'International Journal of Molecular Science' e intitula-se 'Exploring Molecular Signatures Associated with Inflammation and Angiogenesis in the Aqueous Humor of Patients with Non-Proliferative Diabetic Retinopathy' (explorando assinaturas moleculares associadas à inflamação e angiogênese no humor aquoso de pacientes com retinopatia diabética não proliferativa).

Entre os biomarcadores identificados destacam-se várias interleucinas (IL), como a IL-1B e a IL-6, proteínas que atuam como mensageiras do sistema imunológico e que estão associadas a processos de inflamação crônica.

Também foram detectados níveis elevados de VEGF (fator de crescimento endotelial vascular), uma molécula envolvida na angiogênese, ou seja, na formação anômala de novos vasos sanguíneos; de GM-CSF (fator estimulador de colônias de granulócitos e macrófagos), que estimula as células do sistema imunológico, e de várias quimiocinas, proteínas que atraem células inflamatórias, como MCP-1 ou IP-10. A presença aumentada desses mediadores sugere que, mesmo nas fases iniciais da doença, existe uma resposta inflamatória localizada dentro do olho.

Os resultados do estudo indicam que esse perfil molecular — denominado assinatura inflamatória e angiogênica — poderia ter um alto valor como ferramenta de diagnóstico precoce e estratificação de risco, permitindo identificar os pacientes com maior probabilidade de progressão antes que lesões visíveis apareçam na retina. Além disso, abre as portas para o desenvolvimento de novas estratégias terapêuticas direcionadas especificamente contra essas moléculas, com o objetivo de frear os danos vasculares e preservar a visão em pessoas com diabetes.

Uma das autoras deste trabalho, Maria Dolores Pinazo, professora catedrática de Oftalmologia da Universidade de Valência, diretora da Unidade de Investigação em Oftalmologia do FISABIO e membro da Rede de Doenças Inflamatórias, da qual é investigadora principal pelo nó de Valência, explica que esta descoberta é muito satisfatória, pois permite avançar no diagnóstico molecular da retinopatia diabética e até personalizar as ações terapêuticas, com o objetivo de prevenir a perda visual em pacientes diabéticos. A RETINOPATIA DIABÉTICA COMO DOENÇA INFLAMATÓRIA

A retinopatia diabética é uma complicação ocular associada ao diabetes mellitus tipo 2, uma doença metabólica crônica caracterizada por níveis elevados de glicose no sangue. Ela ocorre quando o excesso de glicose danifica progressivamente os pequenos vasos sanguíneos da retina, o tecido sensível à luz localizado na parte posterior do olho. Em seus estágios iniciais, conhecidos como retinopatia diabética não proliferativa (NPDR), a doença pode avançar silenciosamente, sem sintomas visuais. Os resultados reforçam a ideia de que a retinopatia diabética não é apenas uma doença vascular, mas um processo complexo no qual a inflamação desempenha um papel fundamental desde o início. Este ambiente inflamatório pode contribuir para o dano progressivo da retina e facilitar o aparecimento de complicações que afetam irreversivelmente a visão. Um aspecto relevante é que o humor aquoso pode ser obtido com segurança durante cirurgias habituais, como a operação de catarata ou glaucoma. Isso abre a porta para o uso desse líquido como fonte de informação biológica para detectar precocemente alterações associadas à doença, avaliar o risco de progressão e, no futuro, personalizar o acompanhamento e o tratamento de pacientes com diabetes.

Além disso, o estudo sugere que os tratamentos atuais, focados principalmente na fase pré-proliferativa moderada ou grave, ou na fase proliferativa, para frear o crescimento de novos vasos, poderiam ser complementados no futuro com terapias direcionadas ao controle da inflamação, especialmente nas fases iniciais, quando ainda é possível prevenir danos maiores.

Em conjunto, essas descobertas apoiam uma abordagem mais preventiva e personalizada da retinopatia diabética, com o objetivo de agir antes que a doença cause perda visual significativa e, assim, melhorar a qualidade de vida das pessoas com diabetes.

Esta notícia foi traduzida por um tradutor automático

Contador

Contenido patrocinado